840 US Highway 1, North Palm Beach, FL 33408
A smiling woman posing on a sandy beach, with the ocean in the background.

Smile Gallery

The image shows a close-up of a person s mouth with yellowed teeth, some of which appear to be decaying or damaged.

Before

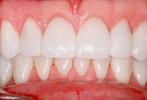
The image shows a close-up of a person s smiling mouth with teeth, and the individual appears to have a clean and well-maintained oral hygiene.

After

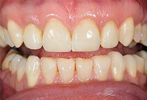
The image displays a close-up view of a person s teeth, showing a set of yellowed teeth with visible staining and discoloration, suggesting poor oral hygiene or dental issues.

Before

The image displays a close-up of a person s teeth, which appear to be in need of dental care due to discoloration and possible decay.

After

Image of a person with an exaggeratedly large smile, showcasing their teeth and lips.

Before

Image of a man with a full beard and mustache, smiling broadly with white teeth, revealing his upper lip and chin.

After

An image of a person s mouth showing a set of teeth with dental implants or veneers, revealing a close-up view of the upper and lower teeth.

Before

The image shows a close-up of a person s teeth, focusing on the front teeth which are white and appear to be well-maintained.

After

The image shows a close-up of an open mouth with teeth that appear to be in need of dental care, specifically showing signs of decay and discoloration.

Before

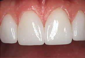
Dental implant with a natural-looking crown, showcasing the result of dental restoration.

After

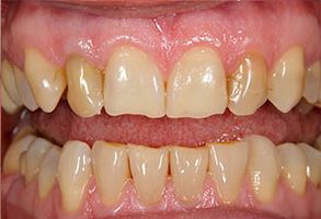
Teeth with yellow stains and a red gum line.

Before

An image of a person s teeth with a focus on the lower front teeth, showcasing a dental implant and bridge.

After

The image shows a close-up of a person s teeth with visible staining and wear, suggesting the need for dental care or treatment.

Before

An image of a person s mouth with yellowish teeth and a partial denture, showcasing a dental implant.

After

About Us

Our mission is to provide excellent oral health and a confident smile. We value your trust and strive to meet your dental needs and care expectations.